Cas cliniques

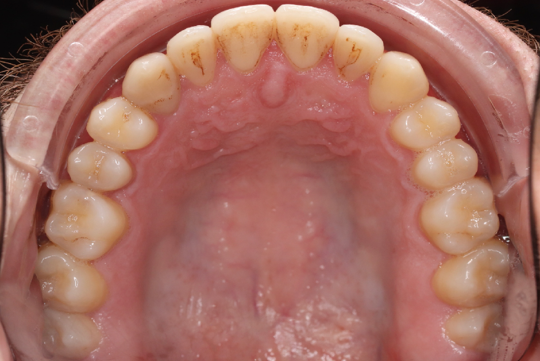
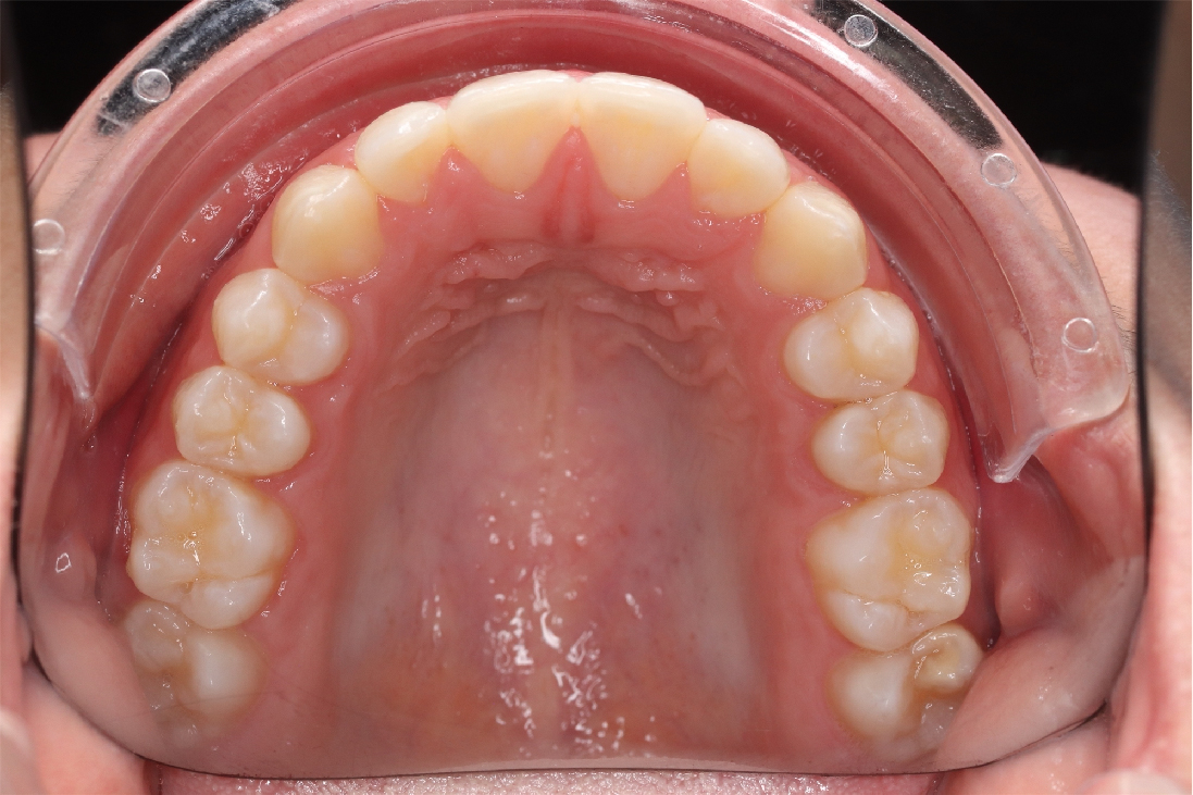
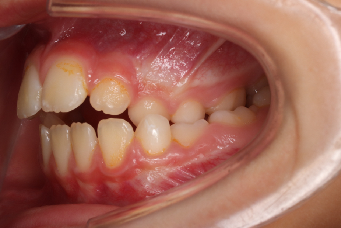
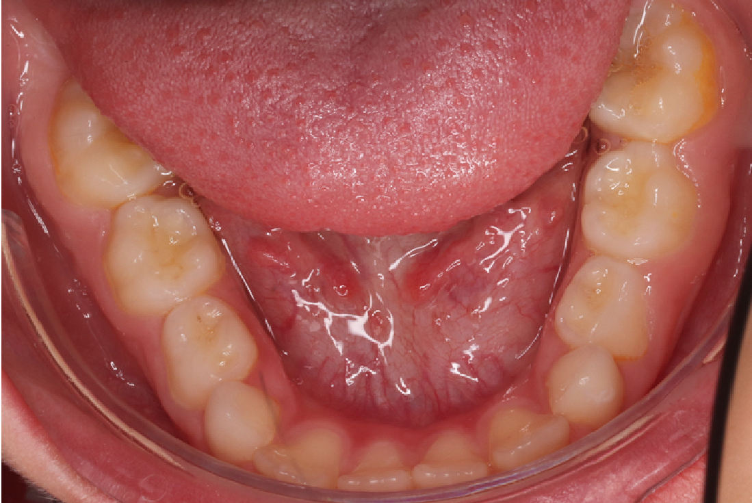
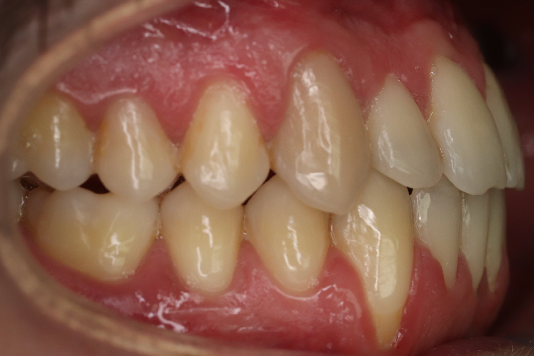
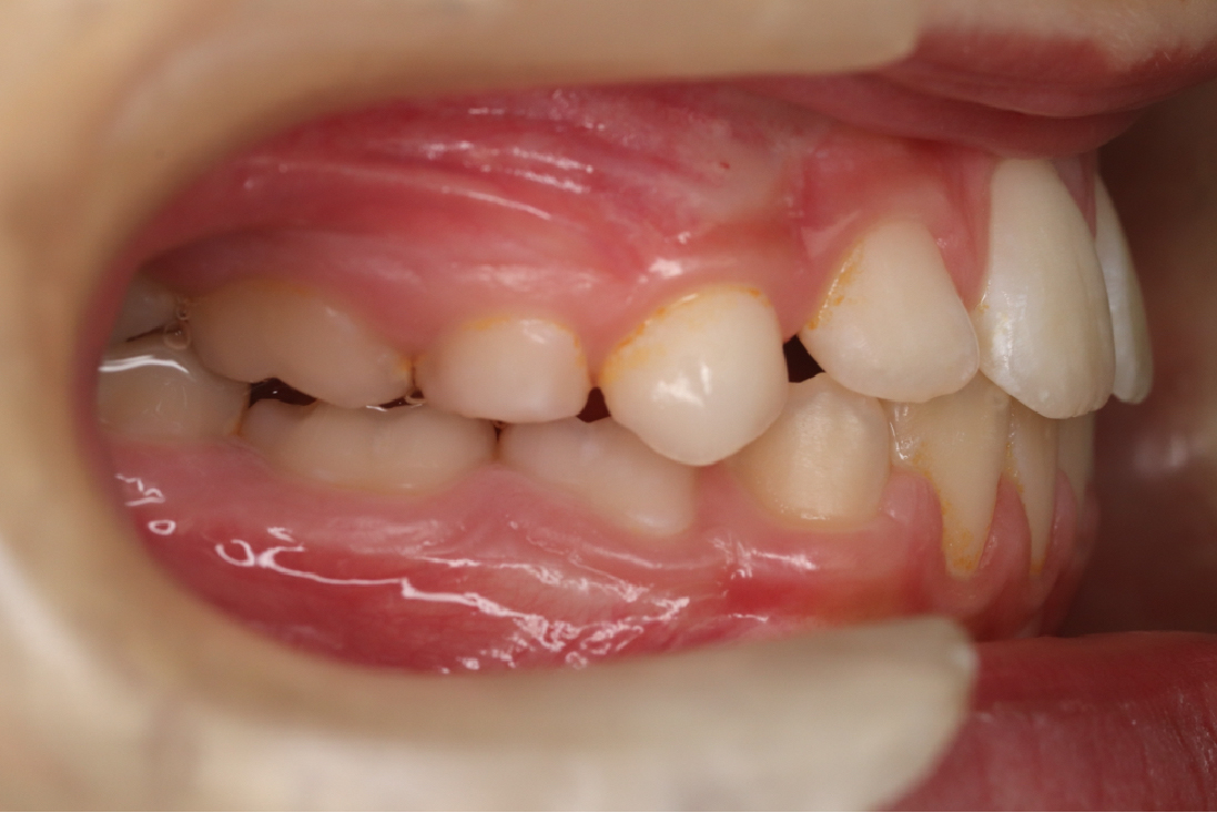
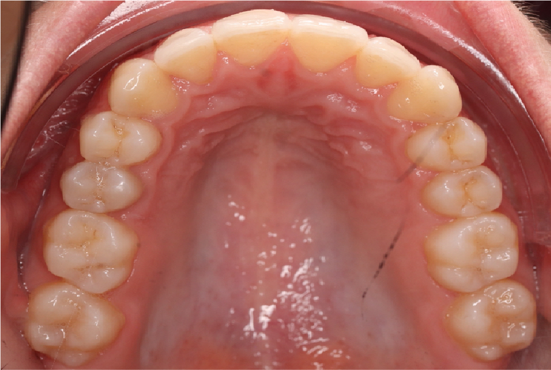
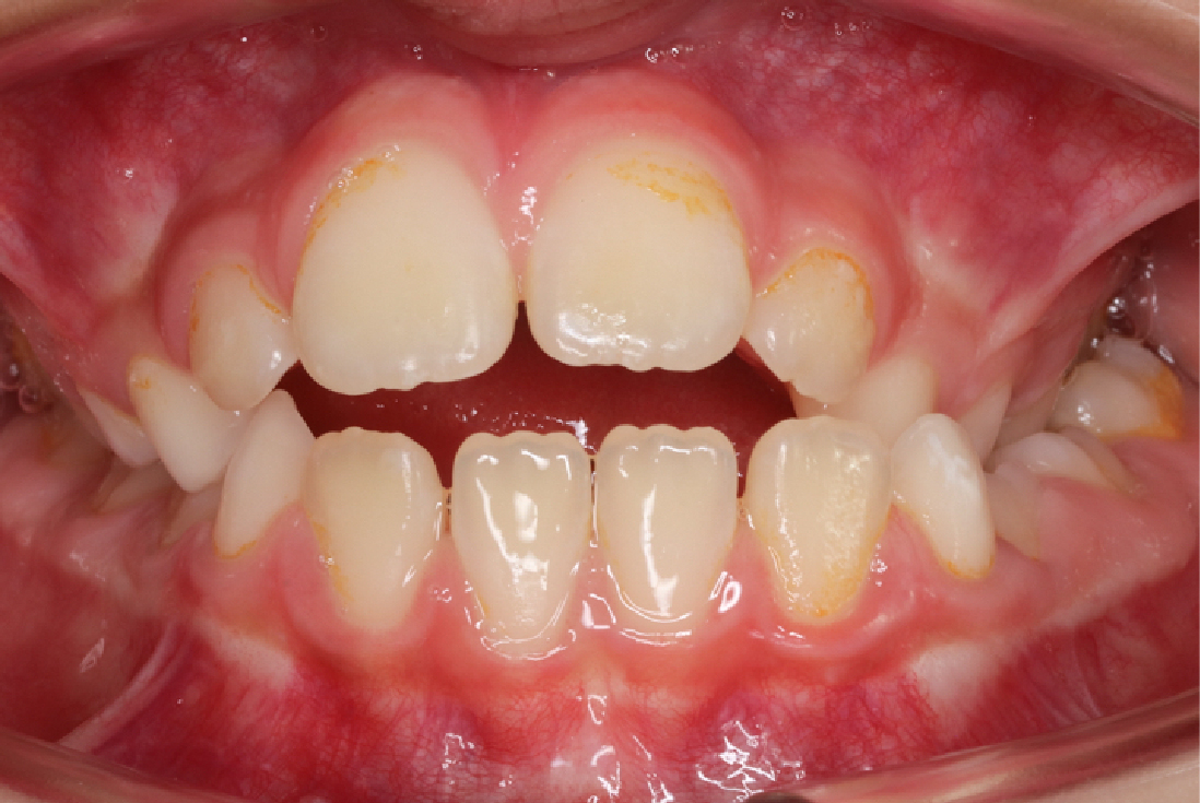
Cas n°1

Traitement orthopédique à l’aide d’un disjoncteur

Avant

Après

Avant

Après

Avant

Après

Avant

Après

Avant

Après

Cas n°2

Traitement orthodontique chez une adolescente

Avant

Après

Avant

Après

Avant

Après

Avant

Après

Avant

Après

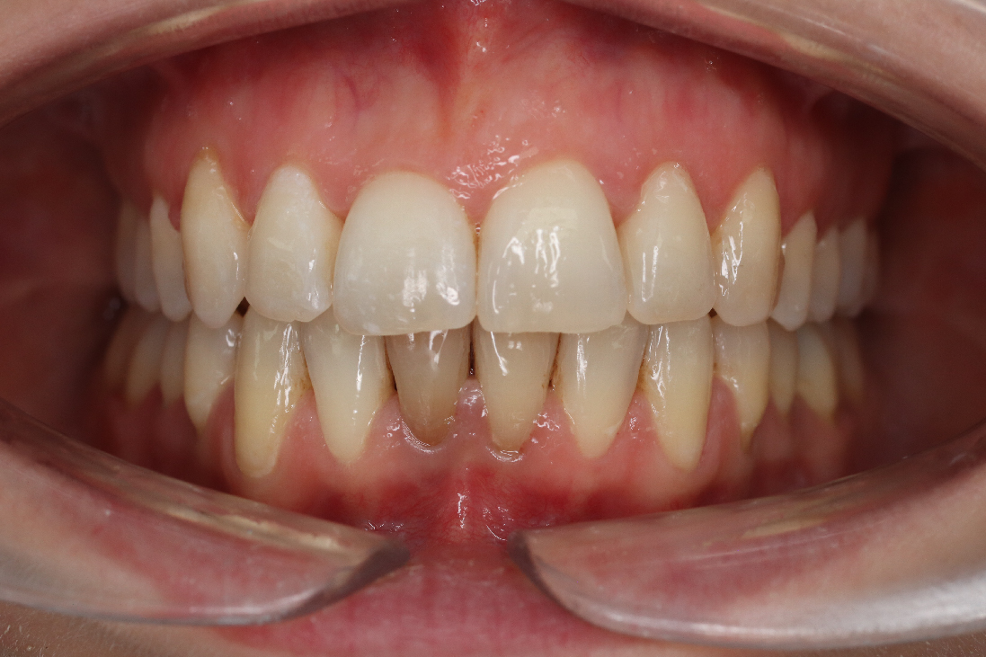
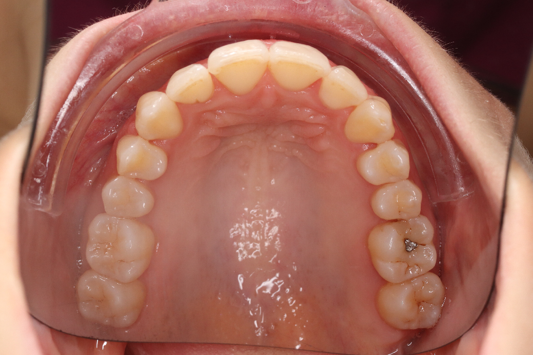
Cas n°3

Traitement orthodontico-chirurgical chez un patient adulte en technique linguale

Avant

Après

Avant

Après

Avant

Après

Avant

Après

Avant

Après

Avant

Après

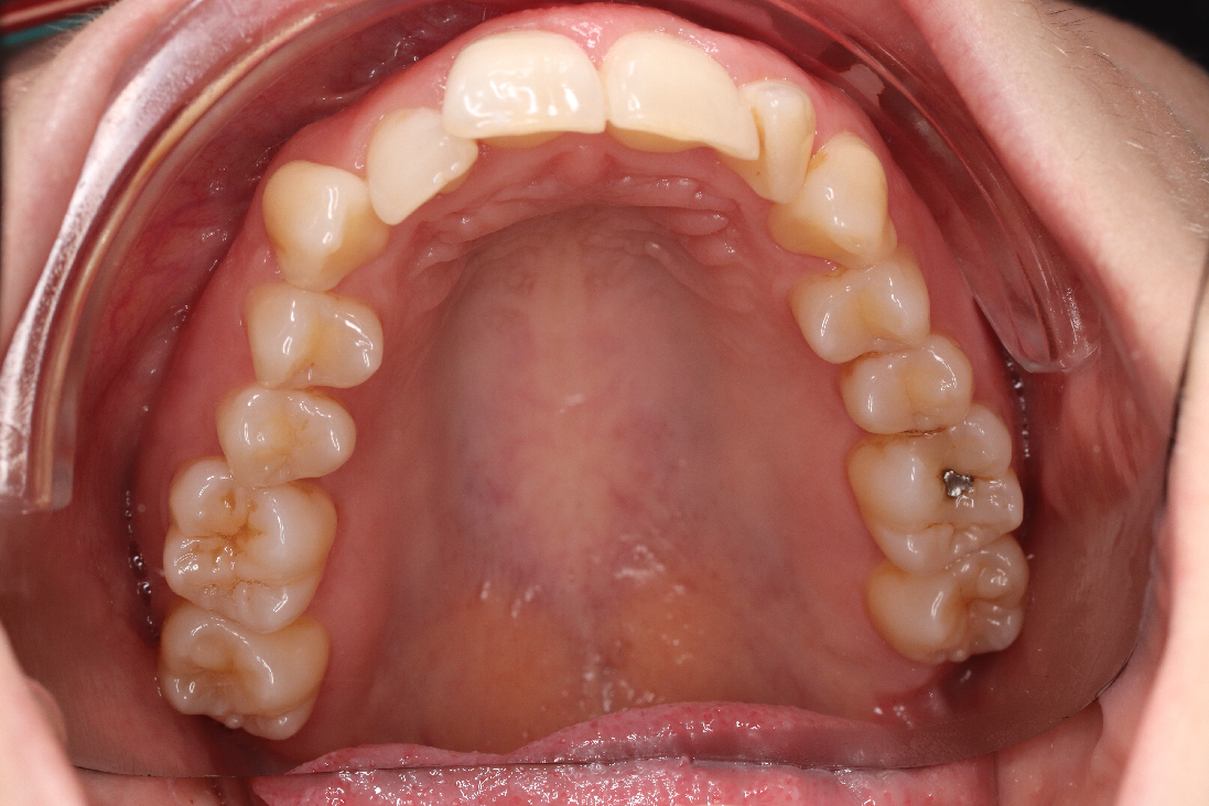
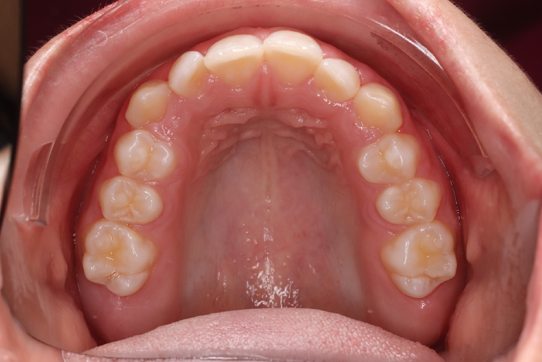
Cas n°4

Traitement orthodontico-chirurgical chez une patiente adulte en technique linguale

Avant

Après

Avant

Après

Avant

Après

Avant

Après

Avant

Après

Avant

Après

Avant

Après

Cas n°5

Traitement orthodontique chez une patiente adulte par aligner

Avant

Après

Avant

Après

Avant

Après

Avant

Après

Avant

Après

Horaires :

Lundi : Fermé

Mardi : 9h-12h, 14h-19h

Mercredi : 9h-12h, 13h-18h

Jeudi: 14h-19h

Vendredi : 9h-12h, 14h-19h

Certains Samedis : 9h-12h

Nous contacter : 04 77 94 53 23 orthodontiefrindel@orange.fr

Le site est entièrement réalisé par Mon Univers Digital, Les photos ne sont pas libres de droit et sont l’oeuvre du photographe SJ , pour toute demande concernant le site, merci de contacter l’administrateur.